Implant Options
There are many different functions and types of dental implants depending upon a patient’s needs and resources.
Here at Lincoln Family Dental we specialize in providing our patients with long lasting, comfortable, esthetic and affordable
Dental Implant Options.
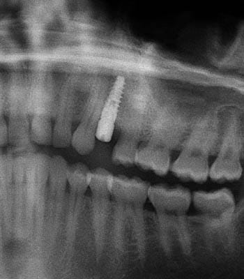
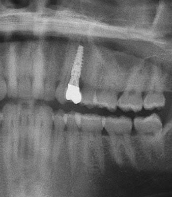
Dental implants are a titanium "root" which can be placed into the jawbone. Once integrated with your bone, the implant can be used to support a crown, a bridge, or secure a complete denture. Dental implants may be used to eliminate partial plates and dentures. The success rates for dental implants are extremely high which is due in part to the fact that root-form implants are made of a biocompatible material, titanium.
Single Tooth Replacement